当前位置: 主页 > 口腔正畸 > 成人矫正 > >
门牙突出怎么矫正好?
时间:2018-10-09 15:36 在线预约 | 在线咨询

门牙突出怎么矫正好?

 
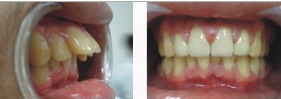
  门牙突出较大的困扰就是影响面容,不易清洁,发声不清晰,因此,很多门牙突出的患者会想尽早进行矫正,下面深圳美莱口腔专家就为您介绍,门牙突出怎么矫正好?
 
 
  门牙突出怎么矫正好?
 
  深圳美莱口腔专家介绍:门牙突出对于不同年龄层采用的方式是不一样的,对于未成年来说,隐形矫正方式比较好,对于成年人来说,美容冠矫正方式是较佳的。
 
  未成年人门牙突出——隐形矫正
 

 
  未成年人牙齿发育尚未成熟,是牙齿矫正的较佳时期,错过了较佳的矫正时期难度会加大,未成年颌骨的可塑性保障了矫正的可行性,只要稍稍外力都可以去取得很好的效果,隐形矫正是较佳的矫正方式。
 
  隐形矫正采用高弹性纳米材料分子,完全透明隐形,隐蔽性非常好,且可以自行摘带矫正器,方便清洁,矫诊治程缩短将近三分之一的时间。可以实现隐形矫牙的梦想,毫无察觉间让牙齿“悄然”变美。
 
  成年人门牙突出——美容冠矫正
 

 
  成年人形象对于工作社交是非常的重要的,牙齿不整齐或多或少的影响到人们的形象。成人牙齿的恢复不同于未成年人,矫正的难度会加大,矫正的时间也会延长,而成年人工作比较忙,这时候采取7天美牙的方法——美容冠恢复是较佳的选择。
 
 深圳美莱口腔的美容冠技术,能一次性完成全部诊治过程,只要一个小时,来院2次就诊,7天就可以圆满的解决门牙前突问题。
 
 
0
分享到:
相关资讯
News
相关专题
Related
在线预约
Online booking

Registered service

预约挂号

Online inquiry

在线问诊
联系我们
Contact us

365天无假日医院

09 : 00-20 : 00

24H免费咨询热线

400-8018088