当前位置: 主页 > 口腔正畸 > 成人矫正 > >
龅牙怎么矫正好?
时间:2018-10-09 15:27 在线预约 | 在线咨询

 

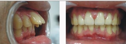
  有龅牙的人往往会带有着“龅牙妹”“龅牙哥”等绰号,多多少少会人让心里难受。但一时又无法改变现状,所以矫正龅牙就成为眼下迫切的事情。
 
  美莱口腔专家指出:矫正龅牙有牙套矫正和美容冠恢复矫正,牙套矫正青少年使用较多,美容冠则更加适用于18周岁以上的成年人.这两种方法矫正龅牙是各具优势的,矫正者不要从价格这个单方面去选择,要综合考虑,做出合理的选择.
 
 
  龅牙怎么矫正好?
  1、青少年矫正龅牙
  通常青春期龅牙是非常的影响还在的身心健康的,很多孩子由于认识到自身的牙齿不美观,因为会更加的容易封闭自己,因此儿童龅牙应该要及时的矫正.
 
  推荐:美莱无托槽隐形矫正。采用透明无托槽的矫治器,实现隐形矫牙梦想。并且易于摘带,更加容易清洁,给牙齿一个干净卫生的“居住环境”,杜绝了牙损伤和牙周病。没有托槽和弓丝,不会造成食物残留,更加没有口腔黏膜摩擦的烦恼,极大程度的减少了不适、疼痛的感觉。
 
  2、成年人矫正龅牙
 
  错过儿童牙齿矫正较佳时机的成年人龅牙现象也是非常的多的,成年人进行龅牙矫正采用传统牙套方法是可以的,但是很多时候人们由于工作生活的关系,不乐意传统的牙套矫正,尤其是花费时间过长,让人难以忍受.因此很多时候成年人更喜欢采用美容冠进行牙齿矫正.
 
  推荐:纯欧仿生美容冠。突破传统美牙的各种弊端,运用仿生材料,对畸形牙、色素牙的临床冠部分施以专业技术,整个美牙过程轻松完成,不伤害原本真牙,不拔牙无痛苦。矫治整个过程只需3天,美牙不出现黑线,具有长时间 的亮白效果。同时,无需配戴牙套,是一项具备技术和艺术的专业医生操作的美牙技术。
 
  【美莱口腔--铸造中国专业的国际化较好的牙科品牌!】
  
  美莱口腔,集预防、保健、诊治、美容、恢复为一体,采用符合国际牙科联盟(FDI)标准的诊治设备和档案管理个性化服务模式。
 
  美莱致力于口腔医疗先进技术的引进、消化和研究,汇集欧洲、香港、台湾和内地的知名专家,形成在口腔医疗领域的技术特色和知名保障。优越的医疗技术、知名的专家资源、国内外先进的医疗设备,为客户提供较佳的医疗体验和保障。
 
  美莱遵守国际消毒标准,严格做到一人一手机,一人一套器械。特别是洁牙机头、高速、低速涡轮机头、车针、拔牙器械、根管诊治器械、牙周诊治器械、敷料等务必严密消毒。坚持实事求是的原则,任何诊治都要做到真材实料,决不以次充好。 并针对不同患者制定周密的诊疗计划,采取密切的跟踪服务,为广大患者提供优异、平和的口腔诊疗服务。
 
  专家提醒:如果想矫正龅牙的朋友,不妨事先找专业的口腔医生检查,找出专业的矫正方案。现在的较为先进的无托槽隐形矫正、四维美学矫正都能取得很好的矫正效果,另外矫正时间也会缩短2-3个月。
 
  温馨提示:以上就是“龅牙怎么矫正好?”全部内容的的介绍,如果你还有什么疑惑,可以点击在线专家找美莱口腔医生为你快速解答。我们不论何时都愿倾听您的烦恼,我们愿意为您找到较好的美牙方案,我们确保为每一位求美者量身制定、精心雕琢,为您打造圆满的形象。我们为你的牙齿健康护航!
 
0
分享到: