当前位置: 主页 > 口腔正畸 > 成人矫正 > >
深圳牙齿不齐矫正需要多少钱?
时间:2018-10-09 15:33 在线预约 | 在线咨询

 

  牙齿美丽才能拥有自信,正因为如此,现在越来越多的人开始关注牙齿,选择通过牙齿矫正来塑造整齐的牙齿,那么牙齿不齐矫正要多少钱呢?下面让我们来详细了解一下。

 
深圳牙齿不齐矫正需要多少钱?
 
  口腔专家指出:牙齿不齐矫正的费用由以下4方面影响:
 
  1、牙齿不齐矫正的费用“因地而异”。地域不同,牙齿矫正费用这个问题在每座城市的每家医院是有所差距的。路边的小诊所技术和医生实力在不足的情况下价格自然更为便宜,但无平和保障,患者选择正规口腔更放心。
 
  2、牙齿不齐矫正的费用取决于患者想要达到的诊治目标。这一点限定了矫正牙齿诊治的难度和疗程。不难理解,成人矫正牙齿的价格与难度和疗程是呈正比的。
 
  3、牙齿不齐矫正费用取决于矫正的难度,牙齿畸形错乱程度轻微一些的,难度就会小一些,价钱也会相对低一些,牙齿错乱畸形越严重,牙齿矫正就会越麻烦,价格相对变高。
 
  4、牙齿矫正的费用与矫正技术和矫正牙齿数量有关。牙科医生会根据患者的牙齿畸形情况选择合理的矫正方法,不同的矫正方法价格不同,技术含量高的成人矫正牙齿方法的价格也高,然后医生再结合患者的经济情况为其选择合适价格的矫正方案。
 
  其中牙齿不齐矫正的方法不同,对费用产生的差异影响较大!
 
  例如:(1)未成年人牙齿不齐优选无托槽隐形正畸
 
 
  无托槽隐形矫正
 
  深圳美莱口腔率先引进的无托槽隐形正畸技术继承了传统的牙颌畸形矫治的理念,可根据正畸者的情况佩带不同的矫治器,完全不影响正畸者的生活。具有隐形效率,稳定美观的特点,并且大大地缩短了疗程,使诊治时间缩短近三分之一,复诊时间缩短二分之一,为正畸者大大节省了时间,是目前受欢迎和信赖的美齿项目。
 
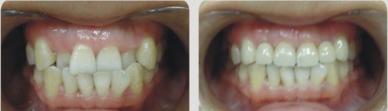
  例如:(2)成年人牙齿美容优选纯欧仿生美牙冠
 
 
  美容冠矫正
 
  纯欧仿生美牙冠是上海德伦口腔引进较先进、成熟、很具品质的技术之一,具有快速正畸,美齿、矫齿、治齿一步到位的功效。具有美牙不拔牙,无痛苦,时间短(前后来院两次,间隔七天,仅需1小时即刻美牙),牙齿坚固,牙龈不会出现黑线等优点,从而达到终生有保障的美牙效果。
 
 
0
分享到: