当前位置: 主页 > 口腔正畸 > 成人矫正 > >
前牙拥挤如何矫正?
时间:2018-10-09 15:30 在线预约 | 在线咨询

 

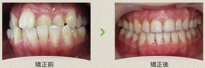
  前牙拥挤,严重影响了外在形象,还有就是进食,与牙齿整齐正常的人不同,前牙拥挤易造成撕咬力不均,易塞牙,刷牙清洁麻烦,龋齿更易发生。所以快速矫正牙齿成为了一种迫切需要。
 
 
  前牙拥挤怎么矫正?
 
  深圳美莱口腔专家指出:目前美容冠技术的发展,使得牙齿拥挤的矫正能够快速,一般只需7天左右,就能拥有洁白整齐的的牙齿。受到了很多成年人的矫正的选择。
 
  美容冠是一种流行于欧美、日韩等地区新兴的美齿技术,针对成人,对龅牙、排列歪斜牙、畸形牙以及色素牙,可有效、快速矫正恢复,无需拔牙,全程无痛。生物相容性好,牙龈不会出现黑线,是目前牙齿恢复的较佳技术之一。很好的恢复牙齿的健康,还你一口整齐的,洁白的牙齿。
 
  美容冠矫正前牙拥挤有什么优点:
 
  1、不伤原牙:美容冠在不损伤牙齿、牙龈的前提下根据牙槽骨的形态对牙齿做修整,仅对不整齐的凸出部位进行精细打磨,无需拨牙。
 
  2、自然长时间 :德国VITA比色技术,以26阶牙色层次化类比,为你调配较适合牙色,更采用三维数字成型,使之呈现长时间 自然光泽。
 
  3、坚固耐磨:选用国际知名材料,令恢复后牙齿坚固耐磨,美容冠与原牙紧密贴合,很好保护原牙,自然美观。
 
4、终生美齿:如能按医嘱进行保养,可相伴终生。
5、 
  5、无不良反应:无以往存在的牙龈红肿、黑线等现象。
 
  6、效率无痛:全程无痛,效率快速,2次诊治,只需等待7天,即可完成。
 
  口腔专家一致推荐的纯欧仿生美容冠:仿生美容冠全数强力升级传统烤瓷牙,引进牙冠技术,采用国际知名的仿生全瓷材料,中欧齿科团队亲诊,个性化定制美牙方案,纯自然光牙色对比,为快速矫正成人畸形牙提供多种恢复方案,效果美观自然,坚固耐用。
 

纯欧仿生美容冠

  【美莱口腔--铸造中国专业的国际化较好的牙科品牌!】
 
  美莱口腔,集预防、保健、诊治、美容、恢复为一体,采用符合国际牙科联盟(FDI)标准的诊治设备和档案管理个性化服务模式。
 
  美莱致力于口腔医疗先进技术的引进、消化和研究,汇集欧洲、香港、台湾和内地的知名专家,形成在口腔医疗领域的技术特色和知名保障。优越的医疗技术、知名的专家资源、国内外先进的医疗设备,为客户提供较佳的医疗体验和保障。
 
  美莱遵守国际消毒标准,严格做到一人一手机,一人一套器械。特别是洁牙机头、高速、低速涡轮机头、车针、拔牙器械、根管诊治器械、牙周诊治器械、敷料等务必严密消毒。坚持实事求是的原则,任何诊治都要做到真材实料,决不以次充好。 并针对不同患者制定周密的诊疗计划,采取密切的跟踪服务,为广大患者提供优异、平和的口腔诊疗服务。
 
  温馨提示:望闻问切是问医第一步,请向在线医生详细阐述您的问题,我们口腔医院在了解了您的状况后,将依据您的实际情况制定较适合您的诊治方案。临了建议您尽早来院与医生及时沟通确定诊治方案,由医生来帮助您解决您的困扰。更多问题欢迎点击在线咨询。
 
0
分享到:
相关资讯
News
相关专题
Related
在线预约
Online booking

Registered service

预约挂号

Online inquiry

在线问诊
联系我们
Contact us

365天无假日医院

09 : 00-20 : 00

24H免费咨询热线

400-8018088