当前位置: 主页 > 口腔种植 > >
牙齿掉了好几颗该怎么办?
时间:2018-10-08 17:09 在线预约 | 在线咨询

牙齿掉了好几颗该怎么办?

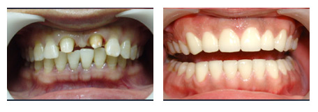
  在日常的生活中,遇到“虫”牙烂掉,牙周病,意外磕碰,蛮力使用等情况,导致我们的牙齿缺失,给我们的日常生活增添了很多麻烦。有什么好的办法可以帮助我们解决多颗牙缺失的情况呢?
 
  牙齿掉了好几颗该怎么办?
 
  【专家解答】
 
  深圳美莱口腔的专家表示,目前较好的方法就是采用种植牙手术来进行提高,虽然种植牙是安置一颗假牙,但是,能够帮助恢复牙齿的咀嚼功能,同时还能够避免其它牙齿出现不健康的现象。
 
  种植牙是以种植材料埋植到牙槽骨内,再在其上做假牙的一种“假牙”恢复方法。对于某些原因不能常规镶牙的患者来说,这种方法为他们带来恢复牙齿咀嚼功能的希望。
 
  多颗牙缺失种植的原理:种植牙被国际上认为是牙齿缺失的优选恢复手段,它可用于各种不同失牙情况,但如同任何一项医疗技术,它也有一定的适应范围,并非每一位牙齿缺失患者都可植入种植体,一般而言,它适用于以下情况:
 
  【适用情况】
 
  1、戴用传统活动假牙固位差、无功能黏膜不能忍受者。
 
  2、对假牙的美观、功能有特殊要求者。
 
  3、缺牙周围的余留牙有问题,不能做传统假牙者。
 
  4、牙齿缺失一个、多个牙、全部牙的患者。
 
  5、下颌全口的牙槽严重吸收,戴用传统全口假牙有困难,功能不好,戴不牢者。
 
  多颗牙齿缺失种植牙恢复
 
  多颗牙种植需植入多颗牙植体,用来当作支台柱,根据患者的实际情况连结到真牙或者其他牙植体,来制作固定假牙。这种情况下,进行种植牙能够较大限度的保护周围牙齿不受损害,同时较大限度的恢复患者的牙齿功能。
 
  口腔专家一致推荐的英式无痛种植牙
 
  据了解,种植牙是口腔医学界公认的牙齿缺失优选恢复方式,而英式无痛种植牙备受国际口腔医学界的热点关注,也在欧美发达国家口腔机构广泛被运用,具有微创无痛、适用面广、终生使用等优势,被誉为21世纪口腔种植的黄金标准。
 
  优势1:获得国际口腔医学界推崇
 
  结合欧盟较高微米检测精度的先进口腔CT机,超微创无痛种植技术和纳米仿生种植体,具备多重优势,种植效果获得国际公认。
 
  优势2:一次种植终身使用率很高
 
  采用世界牙科联盟(FDI)及世卫组织(WHO)较高标准的种植体,具有极强固位,稳定耐磨抗腐蚀,临床证明,终身使用率很高。
 
  优势3:几乎适用所有牙缺失患者
 
  适应面极广,无论哪个部位、缺失多少颗均可施术,缺1颗种1颗,无需磨牙,不伤邻牙,圆满解决了传统恢复术的固有缺点。
 
 
0
分享到:
相关资讯
News
相关专题
Related
在线预约
Online booking

Registered service

预约挂号

Online inquiry

在线问诊
联系我们
Contact us

365天无假日医院

09 : 00-20 : 00

24H免费咨询热线

400-8018088