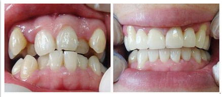
通常长了虎牙的朋友都会选择做牙齿矫正,虎牙矫正有很多方法,对不同年龄段的虎牙患者都有很好的美容效果。很多朋友对虎牙矫正的价格比较关注,那么虎牙矫正需要多少钱呢?下面我们来看看口腔专家是怎么说的吧!
深圳美莱口腔专家介绍说,虎牙矫正的方法不同,那么在矫正价格上也就不同。目前来说,针对虎牙矫正需要多少钱的话,一般是根据牙齿的基础条件来定,而美容冠的价格也会有所不同。同时,儿童虎牙矫正的价格和成人虎牙矫正的价格是不同的。
矫正虎牙的价格也跟很多因素有关,具体体现在以下几个方面:
1、矫正虎牙的价格与牙齿的基础条件有关,不同患者由于牙齿病变的情况不同,所用的材料和矫正牙齿的数量都不同,自然价格也不同。
2、
矫正虎牙的价格与品质材料有关,品质不同价格不同。
3、矫正虎牙的价格与制作设备有关。普通的制作设备和进口的设备的成本是不一样的。
4、矫正虎牙的价格与医生的技术有关。专业的医生和一般的医生收费肯定是不一样的。
美莱口腔专家指出,虎牙矫正费用还需要根据患者的自身情况而定,不能一概而论。而虎牙矫正还是要到正规专业的口腔医院方可以保障矫牙的良好效果,