当前位置:主页 > 牙齿正畸 > 龅牙 >
女白领牙槽前突一小时外科正牙大逆转
时间:2016-07-15 15:57 在线预约 | 在线咨询
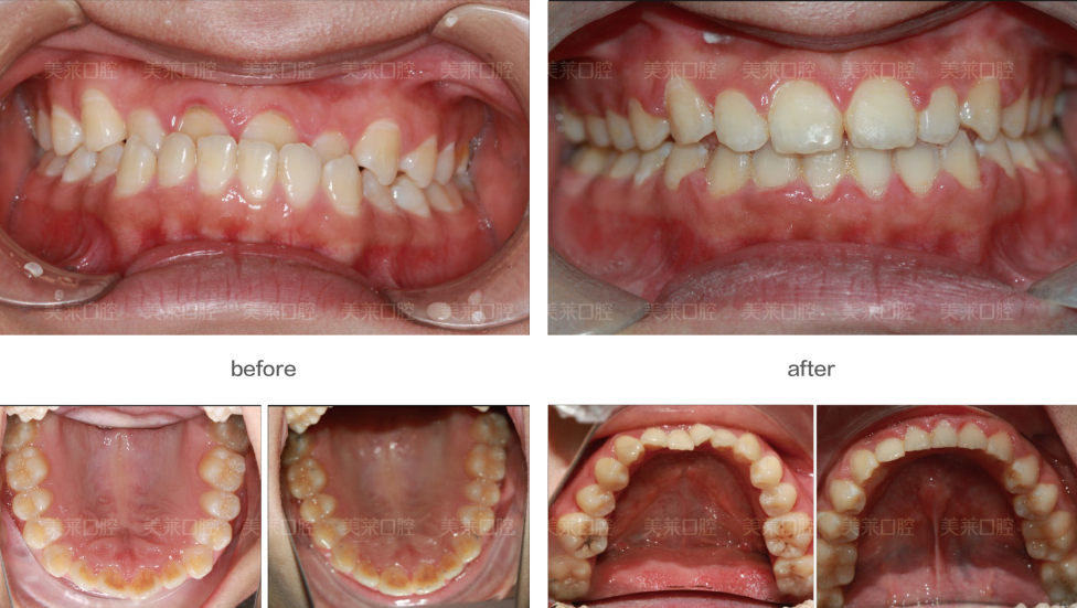
  郑小姐的牙齿类型为典型的上颌牙槽前突,故而显得上唇短,上前牙倾斜前伸,露在口外,导致唇部突起,龅牙十分严重,很影响美观。郑小姐拥有高学历,现在是某大型外贸公司任职的高级白领。郑小姐的工作能力也相当突出,但是因为牙齿问题,让她失去了很多升职和出国的机会。
 

 
  事业上的得失,让郑小姐明白好的容颜有多重要。于是郑小姐很想改善自己牙槽前突的问题,咨询了解到,深圳美莱口腔的韩式外科矫正手术可以有效的改善牙槽前突问题,并且不会损伤牙齿。
  美莱口腔医生熊小明医生介绍,有了牙槽骨前突就应及时正牙,现在普遍的方法是采用侯振杰外科正牙矫正。熊小明外科正牙矫正牙槽前突,手术过程苦、速度快、效果好,实为现今医疗美容技术下好的矫正牙齿方式。<< 详情点击咨询医生

 

 
  据悉,韩式外科正牙手术是熊小明博士开创的一个新型牙槽骨前突、后缩整形方法,结合整形美容学,采用韩式设备,数字化术前模拟设计,以其手术时间短(1小时手术,7天恢复),创伤小(微创、可当天出院),改变大(颌面形状改变,气质改变,面部立体感增强)无需再带牙套的优势深受广大患者青睐,成为目前国际成人微创口腔整形流行的正牙技术。
  通过一个小时韩式外科正牙手术,郑小姐现在无须再忍受传统外科正牙手术的痛苦及2~3年戴矫正器的折磨,彻底解决了暴牙(龅牙)问题,同时上牙不再外突,牙齿整齐了,五官变得立体,面部表情不再时刻严肃。郑小姐也对这一个小时的神奇大逆转,表示丰常满意!
 
分享到:
深圳美莱口腔门诊部 • 一家专注口腔健康与美丽的医院
全国免费预约热线:400-801-8088
QQ在线咨询:8006688999
来院地址:深圳市福田区深南中路2050号华南电力大厦234层
粤ICP备14024678号-1 (粤)(深)医广【2015】第04-09-072号 深圳美莱口腔 版权所有