
随着人们生活水准和对种植牙认识的逐步提高,现在有越来越多的人渴望“挽救牙齿,铸造健康”,种植牙是眼下修复牙齿缺失好的方法。那么,单颗种植牙会影响其他牙齿吗?一起看看美莱口腔博士熊小明医生的介绍。
深圳美莱口腔医生介绍:咀嚼高效、坚固耐用、使用寿命长。但是很多人会担心种植牙会损伤其他牙齿。其大的优点是在修复时对其他牙齿没有损伤,这是发达国家人们把口腔种植作为修复的方式主要原因。
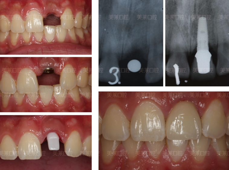
种植牙属于固定修复,对病人来说感觉舒适、无异物感,与传统的缺失牙固定修复相比,不需要借助邻牙,减少了其他天然牙的损伤。可以像真牙一样扎根在患者的口腔里,所以比传统镶牙更牢固,而且种植牙和天然牙的生物力学原理相同,天然牙把口腔内的咀嚼压力通过牙根传递到牙槽骨,种植牙把咀嚼压力通过人工牙根(种植体)传递至牙槽骨,所以种植牙能承受强大的力量,咀嚼效率比传统假牙有大幅度提高。所以种植牙不会影响其它牙齿的。
深圳美莱通过医学方式,将与人体骨质兼容性高的纯钛金属设计成精密的人工牙根,再植入缺牙区的牙槽骨内。经过1~3个月后,当人工牙根与牙槽骨密合后,再在人工牙根上制作牙冠。具有安全、舒适美观、坚固耐用优势,目前,种植牙已被口腔医学界公认为缺牙的修复方式。
深圳美莱“1刻钟即刻种植”,首次摆脱了传统种植牙繁琐低效让患者望而却步的弊端,在种植操作、速度、无损伤上都实现了质的变革,能即刻快速地为你重种一口“无创伤、高质量”的亮白固齿。>> 点击了解更多口腔问题

365天无假日医院

24H免费咨询热线