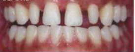
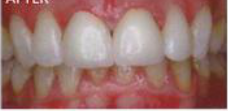
老鼠牙多发生在侧切牙,与遗传因素有关。其形态多为锥形,且明显小于正常的侧切牙,老鼠牙是牙齿畸形的一种,虽然不是病,老鼠牙的危害还是非常巨大的。深圳美莱口腔专家指出老鼠牙的危害主要有以下几点:
一、老鼠牙的危害
老鼠牙危害一:老鼠牙会严重影响一个人的容貌、气质。其不仅对唇型、脸型会产生影响,而且让人会因为牙齿排列不整齐而表现得不够自信,不仅不敢笑,就连说话也得遮遮掩掩。原本相貌姣好的一个人就因为老鼠牙而变得自闭,在求职的道路上白白丧失掉许多良机。
老鼠牙危害二:在有老鼠牙的情况下,牙面凹凸不平、牙与牙之间的不良接触关系,形成了不易清洁区,很容易滞留牙菌斑、食物残渣。从而导致牙龈炎、牙结石、牙面色素沉着、口臭、龋坏等口腔疾病。
二、深圳老鼠牙矫正大概多少钱
和选择的医生和医院有关:不同的医院,有着不同经验的医生,拥有着不同的技术和设备,那么做出来的效果自然也不一样,因此地包天做牙齿矫正大概多少钱也不同。
和患者自身牙齿畸形程度有关:如果是孩子,比较好整,稍微比成年便宜一些,如果已经成年了,牙齿整形就比较贵,需要佩戴的牙套时间长,一般牙齿矫正费用比较高,要视情况而定。
与选用的牙齿矫正方法有关:不同的方法,地包天做牙齿矫正大概多少钱是不一样的,牙齿矫正选择隐适美,这种方法的效果很好,近乎隐形,尤其适合对美观要求比较高的患者。
三、老鼠牙矫正什么方法好?

现在选择美容冠恢复过小牙的效果比较好,美容冠是一种新型的牙齿美容技术,也是目前先进的牙齿矫正技术,它是在传统的烤瓷牙的基础上,进行牙齿恢复的一种美牙方法。而且美容冠可以在不损伤牙齿、牙龈的前提下根据牙槽骨的形态对牙齿做修整。做美容冠首先适度调整歪斜的牙齿,精细打磨凸出部位1-2毫米;然后在原牙外包以整齐洁白的美容冠,保护原牙,一口整齐亮白的牙齿,就大功告成了,且不着痕迹。不仅具有美牙不拔牙,无痛苦,时间短,牙齿坚固,多年后牙龈不会出现黑线等优点。从而达到终生有保障的美牙效果。
四、深圳美莱口腔知名牙齿矫正专家
韩旭,美莱口腔医疗集团(深圳)正畸技术总监,中华口腔医学会正畸会员。曾受选派作为访问学者,先后赴日本大阪齿科大学和美国North Carolina大学研修。从事正畸临床工作二十多年,成功完成诊治各类错颌畸形病人数万例。特别擅长成人和儿童各种复杂错颌畸形的综合矫治。对患者耐心细致,善于从患者角度出发,制定较合适、很好的诊治方案,追求效率,稳定的诊治效果。